LOADING...
Lima Peran Tak Terduga dari Cairan Serebrospinal Manusia

Lima Peran Tak Terduga dari Cairan Serebrospinal Manusia

menulis Handoko
Dec 15, 2025
11:16 am

Apa ceritanya

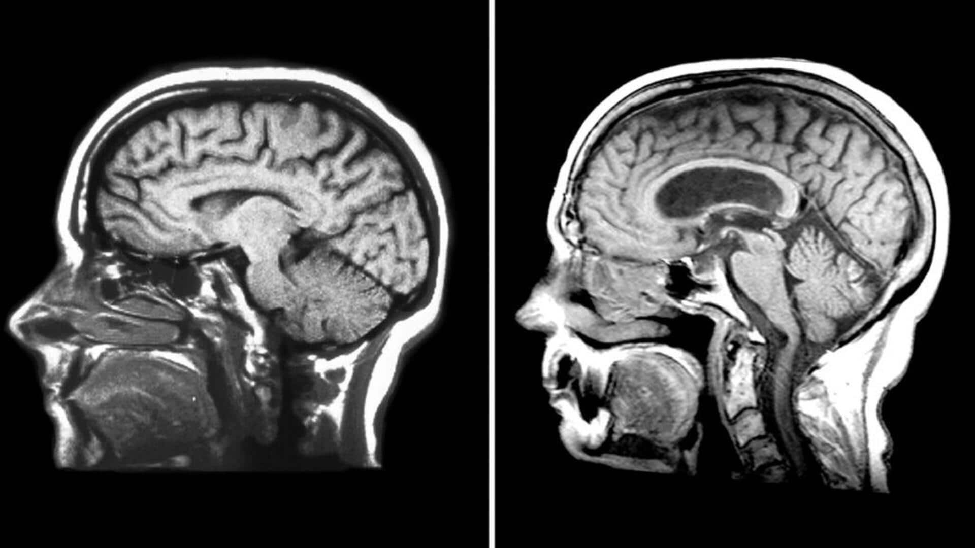
Cairan serebrospinal (CSF) sering kali dianggap hanya sebagai pelindung otak dan sumsum tulang belakang. Namun, cairan ini memiliki peran yang lebih kompleks dan penting dalam tubuh manusia. Artikel ini akan mengungkap lima fungsi tak terduga dari cairan cerebrospinal yang mungkin belum banyak diketahui orang.

Fungsi 1

Penyangga Otak dan Sumsum Tulang Belakang

Cairan serebrospinal berfungsi sebagai penyangga utama bagi otak dan sumsum tulang belakang. Dengan mengelilingi kedua organ vital ini, CSF membantu melindungi mereka dari benturan atau cedera fisik. Tekanan hidrostatik dalam cairan ini juga memastikan bahwa jaringan saraf tetap stabil dan tidak mengalami kerusakan akibat tekanan eksternal.

2

Transportasi Nutrisi Penting

Selain sebagai pelindung, CSF juga berperan dalam transportasi nutrisi penting ke sel-sel saraf. Nutrisi seperti glukosa dan ion kalsium larut dalam cairan ini, memastikan bahwa sel-sel saraf mendapatkan pasokan energi yang dibutuhkan untuk fungsi optimal. Ini adalah salah satu cara tubuh menjaga kesehatan sistem saraf pusat.

Advertisement

Fungsi 3

Pengaturan Tekanan Intraokular

Cairan serebrospinal membantu mengatur tekanan intraokular di mata. Dengan menjaga keseimbangan tekanan antara ruang anterior mata dan sistem sirkulasi darah, CSF berkontribusi pada kesehatan mata secara keseluruhan. Pengaturan tekanan ini penting untuk mencegah kondisi seperti glaukoma yang dapat merusak penglihatan.

Advertisement

4

Peran CSF dalam Sistem Imun Tubuh

CSF juga memiliki peran dalam sistem imun tubuh dengan membawa sel-sel kekebalan ke area sekitar otak dan sumsum tulang belakang. Sel-sel kekebalan ini dapat mendeteksi adanya infeksi atau gangguan lainnya, sehingga memungkinkan respons imun yang cepat terhadap ancaman kesehatan.

5

Membantu Detoksifikasi Otak

Salah satu fungsi penting dari CSF adalah membantu detoksifikasi otak dengan mengeluarkan limbah metabolik dari jaringan saraf pusat. Proses ini terjadi melalui sirkulasi alami cairan serebrospinal yang membawa limbah keluar dari otak menuju sistem limfatik untuk dibersihkan lebih lanjut oleh tubuh. Dengan memahami lima peran tak terduga ini, kita dapat lebih menghargai kompleksitas dan pentingnya cairan cerebrospinal dalam menjaga kesehatan sistem saraf pusat manusia.

Advertisement