LOADING...
Lima Penggunaan Cerdas dari Gelombang Radio dalam Sains Modern

Lima Penggunaan Cerdas dari Gelombang Radio dalam Sains Modern

menulis Handoko
Dec 29, 2025
12:10 pm

Apa ceritanya

Gelombang radio telah menjadi bagian penting dari kemajuan sains modern. Dari komunikasi hingga penelitian, gelombang radio menawarkan solusi inovatif untuk berbagai tantangan. Artikel ini akan membahas lima penggunaan cerdas dari gelombang radio yang telah mengubah cara kita memahami dan berinteraksi dengan dunia di sekitar kita.

Komunikasi

Komunikasi Satelit yang Efisien

Gelombang radio digunakan secara luas dalam komunikasi satelit. Teknologi ini memungkinkan transmisi data dari satu titik ke titik lain di bumi dengan cepat dan efisien. Dengan menggunakan frekuensi tertentu, satelit dapat mengirimkan sinyal ke penerima di berbagai lokasi, mendukung layanan seperti televisi satelit dan internet nirkabel.

Cuaca

Pemantauan Cuaca yang Akurat

Gelombang radio juga digunakan untuk memantau cuaca secara akurat. Radar cuaca memanfaatkan gelombang ini untuk mendeteksi pola cuaca seperti hujan, badai, dan angin kencang. Informasi ini sangat penting bagi peramal cuaca dalam memberikan peringatan dini kepada masyarakat tentang kondisi cuaca ekstrem.

Advertisement

Medis

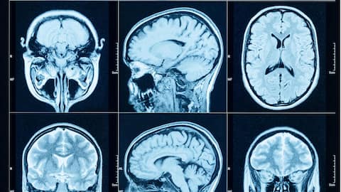
Penelitian Medis Melalui MRI

Dalam bidang medis, Magnetic Resonance Imaging (MRI) adalah salah satu aplikasi penting dari gelombang radio. Teknologi ini memungkinkan dokter untuk mendapatkan gambaran detail organ tubuh tanpa perlu prosedur bedah invasif. MRI membantu dalam diagnosis berbagai kondisi kesehatan dengan aman dan efektif.

Advertisement

Navigasi

Navigasi Global Melalui GPS

Global Positioning System (GPS) adalah contoh lain penggunaan cerdas dari gelombang radio. Sistem navigasi ini memungkinkan pengguna menentukan lokasi mereka dengan akurasi tinggi di seluruh dunia. Dengan bantuan satelit GPS yang mengirimkan sinyal ke perangkat penerima, pengguna dapat menemukan rute terbaik untuk perjalanan mereka.

Astronomi

Penelitian Astronomi Jarak Jauh

Gelombang radio juga memainkan peran penting dalam penelitian astronomi. Teleskop radio digunakan untuk mendeteksi gelombang elektromagnetik dari objek jauh di luar angkasa seperti bintang dan galaksi. Penelitian ini memberikan wawasan baru tentang asal-usul alam semesta serta fenomena kosmik lainnya yang menarik perhatian para ilmuwan.

Advertisement